近日,温州医科大学研究团队在期刊《Cell Death Discovery》上发表了研究论文,题为“Panobinostat potentiates adagrasib-induced cell death by triggering autophagy in human non-small cell lung cancer”,本研究报告称,阿达格拉西布治疗显著抑制了携带 KRASG12C 突变的细胞的生长,然而非 KRASG12C 细胞系 H1299 和 PC-9 对阿达格拉西布也敏感,这表明阿达格拉西布产生了脱靶效应。机制研究表明,阿达格拉西布治疗通过上调其泛素化水平降低了 NRF2 的水平,而 NRF2 过表达能够逆转阿达格拉西布诱导的 H23 和 H1299 细胞死亡。此外,阿达格拉西布治疗显著增加了 H23 和 H1299 细胞内的活性氧水平,从而激活了自噬和 AKT 信号通路。尤其是,阿达格拉西布与帕比司他联合使用在体外和体内均显示出增强的抗肿瘤活性。总之,本研究数据阐明了阿达格拉西布的一种新机制,这对阿达格拉西布的临床应用至关重要。

https://www.nature.com/articles/s41420-025-02657-9#Sec12
背景知识
01
KRAS是各种实体瘤中最常见的突变基因之一。在被诊断患有非小细胞肺癌(NSCLC)的患者中,约有 25% 的人存在 KRAS 突变,这些患者的预后通常不如没有这些突变的患者。长期以来,由于缺乏合适的结合位点,KRAS 被认为是药物开发中的一个难以攻克的目标。然而,随着强效 KRASG12C 抑制剂的发现,这种情况最近发生了改变。其中,索托拉西布和阿达格拉西布已显示出出色的抗肿瘤活性,并且最近获得了FDA的批准,用于治疗 KRASG12C 突变的 NSCLC 患者。这些批准标志着靶向这一特定肺癌亚型的靶向治疗取得了重要进展,为此前治疗选择有限的患者提供了新的希望。
ADA 与泊那替尼联合使用在非小细胞肺癌细胞中引发了显著的合成致死效应
02
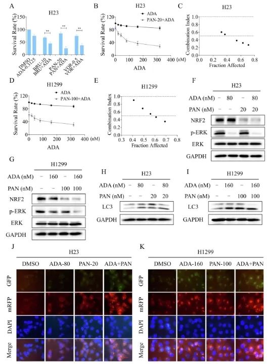
上述研究结果表明,抑制 NRF2 在介导ADA的抗肿瘤功效方面至关重要。然而,这也会导致细胞补偿途径的激活,比如 AKT 通路,尤其是在高浓度时。鉴于 ADA 在极低浓度下就能显著抑制 ERK 通路,探索其与 NRF2 通路抑制剂的联合应用颇具意义。从鸦胆子植物中分离出的化合物鸦胆子苦醇是一种 NRF2 抑制剂。此外,组蛋白去乙酰化酶(HDAC)抑制剂如 MS-275、伏立诺他、贝利司他和帕比司他也能显著抑制 NRF2 以发挥其抗肿瘤活性。实际上,在用鸦胆子苦醇(BRU)、伏立诺他(VOR)或帕比司他(PAN)处理后,H23 细胞中 NRF2 的表达显著降低。细胞活力测定表明,这些药物显著提高了 H23 细胞对 ADA 的敏感性。为了加快临床应用,研究人员选择探究 PAN 与 ADA 的联合疗效及机制。联合指数结果表明,ADA 与 PAN 的组合在 H23 和 H1299 细胞中引发了显著的合成致死效应。蛋白质印迹法检测显示,在 H23 和 H1299 细胞中,联合治疗后 p-ERK 和 NRF2 的水平显著受到抑制。
研究人员进一步探究了ADA和PAN联合用药的下游分子机制。蛋白质印迹法显示,ADA 或 PAN 处理后 LC3-II/I 的比例增加,而联合用药组中该比例增加更为显著。免疫荧光实验进一步证实,ADA 可与PAN协同激活 H23 和 H1299 细胞的自噬。值得注意的是,3-MA 能够有效阻断自噬激活以及联合用药在 H23 和 H1299 细胞中诱导的生长抑制作用,表明自噬在 ADA 和PAN的协同抗肿瘤活性中起关键作用。此外,NAC 预处理也减弱了 ADA 和PAN诱导的自噬激活和生长抑制作用。

ADA 与 PAN 联合使用在非小细胞肺癌细胞中引发了显著的合成致死效应
结论
03
综上,研究人员发现了阿达格拉西布的一种新机制。研究结果表明,阿达格拉西布与帕比司他联合使用对肺癌具有很强的协同抗肿瘤活性。这些结果为这种联合疗法在临床中的进一步探索和应用提供了坚实的理论基础。
参考资料:
https://www.nature.com/articles/s41420-025-02657-9【关于投稿】
转化医学网(360zhyx.com)是转化医学核心门户,旨在推动基础研究、临床诊疗和产业的发展,核心内容涵盖组学、检验、免疫、肿瘤、心血管、糖尿病等。如您有最新的研究内容发表,欢迎联系我们进行免费报道(公众号菜单栏-在线客服联系),我们的理念:内容创造价值,转化铸就未来!
转化医学网(360zhyx.com)发布的文章旨在介绍前沿医学研究进展,不能作为治疗方案使用;如需获得健康指导,请至正规医院就诊。



